Non-Surgical Sinus Lift

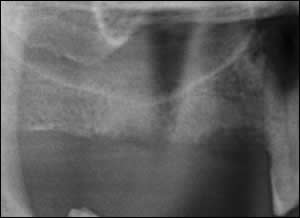
Fig 1: Pre-operative radiograph reveals a low maxillary sinus.

Fig 2: Tracing of the sinus floor

Fig 3: Post-operative radiographs reveals placement of 3 dental implants after “non-surgical” sinus elevation.

Fig 4: Tracing of the repositioned sinus floor providing ample space for 3 dental implants.

Fig 5: Close up radiograph of the 3 dental implants and surrounding bone.

Fig 6: Close up radiograph of the 3 dental implants and surrounding bone. The repositioned sinus floor is traced.

