
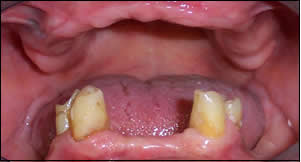
Fig 1: Worn out lower teeth.

Fig 2: Insertion of two ERA Overdenture posts.

Fig 3: Inside of the lower overdenture revealing two nylon gaskets.

Fig 4: Outside view of the lower overdenture

Fig 5: Conventional upper denture and lower overdenture. The lower overdenture clips into place.

Fig 6: A happy patient!

