Natural Overdenture

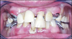
Fig 1: A 54 year old male presented with extensive tooth decay, periodontal disease and partial dentures.

Fig 2: Upper partial denture removed.

Fig 3: A pre-operative panoramic image demonstrates the missing teeth, tooth decay, residual roots and periodontal disease.

Fig 4: The remaining teeth were extracted, except fot the lower cuspids. These were fitted with overdenture posts.

Fig 5: An intraoral view of the overdenture posts and healthy periodontia.

Fig 6: A lower overdenture was fabricated.

Fig 7: The inside of the lower overdenture demonstrating the nylon gaskets which engage the fittings on the overdenture posts.

Fig 8: Upon fabricating the upper denture,computer aided smile design was utilized to create a level incisal plane and to achieve golden proportions.

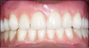
Fig 9: A frontal view of centric occlusion .The upper denture in place. The lower overdenture clipped into place.

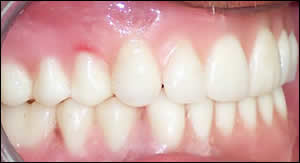
Fig 10: Right intraoral view in centric occlusion.

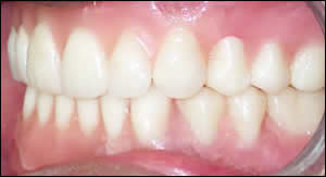
Fig 11: Left intraoral view in centric occlussion

