Forlano Dental Aesthetics
Forlano Dental Aesthetics
  • Home
  • About Us
    • Your Doctors
    • Your Team
    • Our Technology
  • Our Services
    • General Dentistry
    • Cosmetic Dentistry
    • Orthodontics & DentoFacial Orthopaedics
    • Implant Dentistry
    • Full Mouth Rehab
    • Executive Dental Health
    • Interdisciplinary Treatment Planning
    • Oral Medicine
    • Pediatric & Adolescent Dentistry
    • Prosthodontics
    • Sedation Dentistry
    • Sinus Lifts & Bone Augmentations
    • Sleep Medicine
  • Before & After
  • Forms, News & Events
    • Forms
    • A Night for the Arts
    • Our Magazine
    • Presentations
  • Consulting
    • Dental Students
    • Doctors
  • CONTACT US
  • BOOK NOW
  • Bonding
  • Bone Augmentation
  • Comprehensive Care
  • Dentofacial Orthopaedics
  • Implants
  • Invisalign
  • Mini Implants
  • Natural Overdentures
  • Orthodontics - Adults
  • Orthodontics - Children
  • Porcelain Crowns
  • Porcelain Veneers
  • Whitening

Uppers

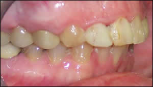
Fig 1: Before
upper
Fig 2: After-Upper Porcelain Crowns
upper

Latest Articles

  • Twin Blocks (2)
  • Uppers & Lowers
  • Bicuspid
  • Molar
  • Uppers
  • Upper Porcelain Crowns
  • Upper Porcelain Crowns (2)
  • Incisor
  • Comprehensive Care - 2a
  • Natural Overdenture (2)
  • Overdenture
  • Single Tooth Implants
  • Single Tooth Implants (2)
  • Mini Implants used for Orthodontic Anchorage
  • Invisalign

Forlano Dental Aesthetics BLACK

dba David Forlano, DDS, PC
375 East Main Street
East Islip, New York 11730

(631) 581-5121

Copyright 2015 Forlano Dental Aesthetics
Bar Harbor Web Design

IG LOGO black