Implant Supported Bridge
Fig 1: A 55 year old male presented requesting dental implants. His upper arch was completely edentulous. His lower teeth were diseased.

Fig 2 & 3: These are aerial views of the upper and lower arches respectively. The lower teeth have been extracted.


Fig 4 & 5: The upper and lower arches received 8 dental implants each . Using Simplant and SurgiGuide technology, the implants were placed without any incisions, bleeding or stitches. These photos were taken the same day the implants were placed.


Fig 6 & 7: Custom posts were designed and fabricated using Atlantis technology.


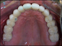
Fig 8 & 9: 14 unit porcelain fused to metal bridges were cemented in place. These prostheses look and fell as close to natural teeth as possible. There is no bulky denture material covering the gums or palate.


Fig 10: A radiographic view of the dental implants prior to the placement of the porcelain bridges.


