Rapid Palatal Expansion

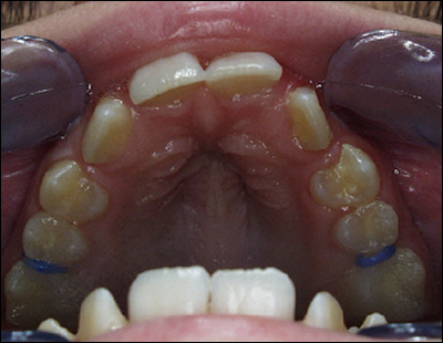
Fig. 1: A 9 year old girl presented with crowding of her four upper incisors and a restricted palate, preventing the eruption of her two cupsids.

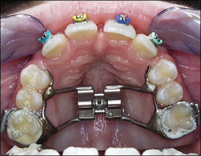
Fig. 2: A Rapid Palatal Expander was placed to create room in the dental arch. Notice the newly formed space between the central incisors.

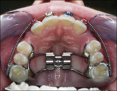
Fig. 3: Braces were placed to round off the dental arch and to align the four incisors. Ample space was provided for natual eruption of her cuspids.

