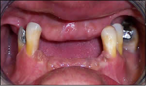
Fig. 1: “Dr Forlano, I can’t wear these dentures, they hurt my gums, I can’t eat and my teeth are so crooked that I’m embarassed to smile. I want dental implants but I’m a big chicken and my health is not the greatest”.

Fig. 2: Examination revealed crooked teeth, poor fitting dentures, and periodontal disease.

Fig. 3: Treatment included removal of the diseased teeth and placement of 5 Mini Dental Implants.

Fig. 4: New Upper & Lower Dentures were
fabricated.
fabricated.

Fig. 5: A happy patient!


