Sinus Augmentation - 1

Fig 1: Tooth decay and root resorption led to failure of this retained deciduous tooth on a 35 year old male

Fig 2: The position of the maxillary sinus appeared to be an obstacle to implant placement.

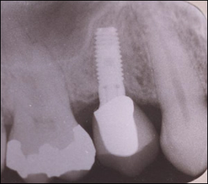
Fig 3: Using the Summers Technique, the floor of the maxillary sinus was repositioned "non-surgically". A bone graft and a dental implant were easily placed.

Fig 4: Notice the repositioned sinus floor.

