
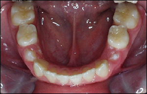
Fig 1: A 9 year old female presented with a lack of adequate space in her lower dental arch. This resulted in crowding of the lower incisors.

Fig 2: A Mandibular Schwartz Appliance was inserted to develop the dental arch to its genetic potential.

Fig 3: The posterior teeth have been uprighted, creating enough space for the newly erupting bicuspids. The incisors have been aligned via springs built into the appliance. The stage is set for the natural eruption and alignment of the permanent teeth.

