Bicuspid
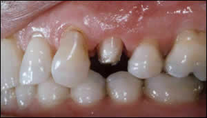
Fig 1: The maxillary first bicuspid is prepared for a crown.

Fig 2: A temporary crown was placed to protect the tooth, maintain the occlusion and to shape the gumline.

Fig 3: A permanent porcelain crown was inserted 1 week later. The shape, color and texture was hand crafted for a natural appearance.


