Implant Supported Bridge (2)
Fig 1: A patient presented with an edentulous upper arch.

Fig 2 & 3: A DentaScan was taken to assess the maxilla in 3-dimensions. Eight dental implants were placed in the virtual image of the maxilla using Simplant software.


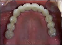
Fig 4 & 5: Pre-operative view of the edentulous maxilla. A 12-unit porcelain bridge was cemented in place.


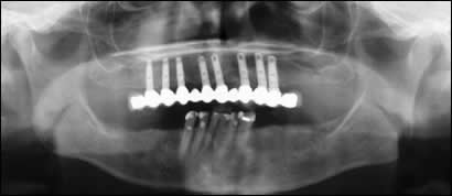
Fig 6: The post-operative radiograph reveals the successful integration of eight dental implants and the 12 unit porcelain bridge.


