Single Tooth Implant
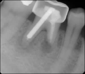
Fig 1: A diseased tooth proved to be hopeless.

Fig 2: The tooth was extracted

Fig 3: A dental implant was placed in the interseptal bone of the extraction site.

Fig 4: Guided tissue regeneration with platelet rich plasma resulted in complete bone fill of the extraction socket and intimate contact of alveolar bone with the implant surface.

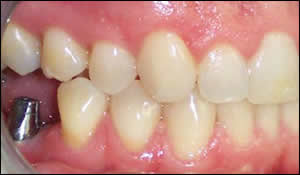
Fig 5: An intraoral view of the implant abutment.

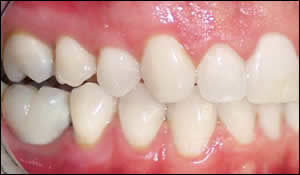
Fig 6: An intraoral view of the implant crown subsequent to whitening the other teeth.


