Maxillary & Mandibular Schwartz Appliance
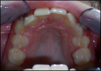
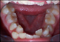
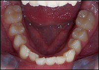
Fig 1 & 2: An 11 year old female presented with a narrow upper and lower dental arches and crowded teeth.


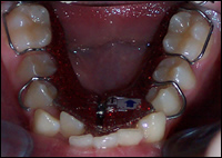
Fig 3 & 4: Upper and lower Schwartz Appliances were fabricated.


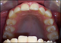
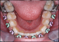
Fig 5 & 6: The dental arches were shaped and expanded to accomodate all of the teeth.


Fig 7 & 8: Straightwire Orthodontics completes the case.



