Twin Blocks (2)



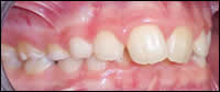
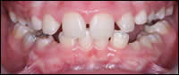
Fig 1: A 10 year old boy presented with a deep overbite and an overjet. Notice how the upper front teeth cover practically all of the lower teeth. This is called an overbite. Also notice how the upper teeth jet out from the lower teeth. This is called an overjet. A cephlometric analysis revealed that it wasn’t the teeth that were out of position, but actually, it was the lower jawbone (the mandible) that was out of position. The mandible was found to be retruded.



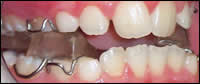
Fig 2: Twin Block Appliances were fabricated. These appliances placed the mandible in a more favorable anatomical position, opened the airway and established a more favorable lower facial height.



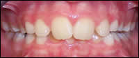
Fig 3: Upon completion of the Twin Block therapy, the overbite and the overjet is corrected. Now that the airway and skeletal discrepancies have been corrected, this patient is ready for orthodontic treatment to straighten the teeth.
To learn more about this case, go to next page.

