Twin Blocks

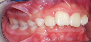
Fig 1: A 9 year old boy presented with a deep overbite and a retruded mandible. An analysis revealed that the deep overbite was retarding the downward and foward growth of the mandible (lower jaw).

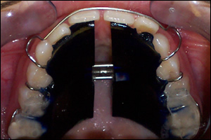
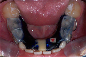
Fig 2: Twin Block appliances were fabricated to open the bite and advance the mandible.

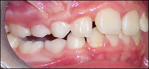
Fig 3: Upon complettion of Twin Block therapy, a Class I molar and skeletal relationship was established. The deep bite was reduced. The spaces between the upper and lower posterior teeth will allow for eruption of the permanent bicuspids.

Fig 4: The Maxillary Twin Block

Fig 5: The Mandibular Twin Block

